ORTHOPEDIE
Diepgaand onderzoek, duurzaam herstel
Kreupelheidsonderzoek
Kreupelheden zijn de nummer 1 oorzaak voor verminderd presteren bij paarden. Heel vaak blijken problemen al lange tijd te sluimeren voor ingegrepen wordt, wat het herstel ontzettend vertraagd en de prognose verslechterd.
Dankzij jarenlange ervaring kan ik je helpen om problemen in een vroeg stadium te herkennen en optimale ondersteuning voor herstel te bieden. Hierbij maak ik gebruik van de gevalideerde Sleip software. Dankzij artificial intelligence kan een asymmetrie in beweging veel eerder opgemerkt worden en kan de beweging op lange termijn beter opgevolgd worden.

Klinisch onderzoek
Het paard wordt uitgebreid beoordeeld in stand, gezien in beweging en indien nodig worden buigproeven of lokale verdovingen uitgevoerd.

Sleip software
Dankzij de Sleip technologie wordt de beweging van het paard objectief meetbaar. Dit ondersteunt in het stellen van een diagnose en het monitoren van herstel.

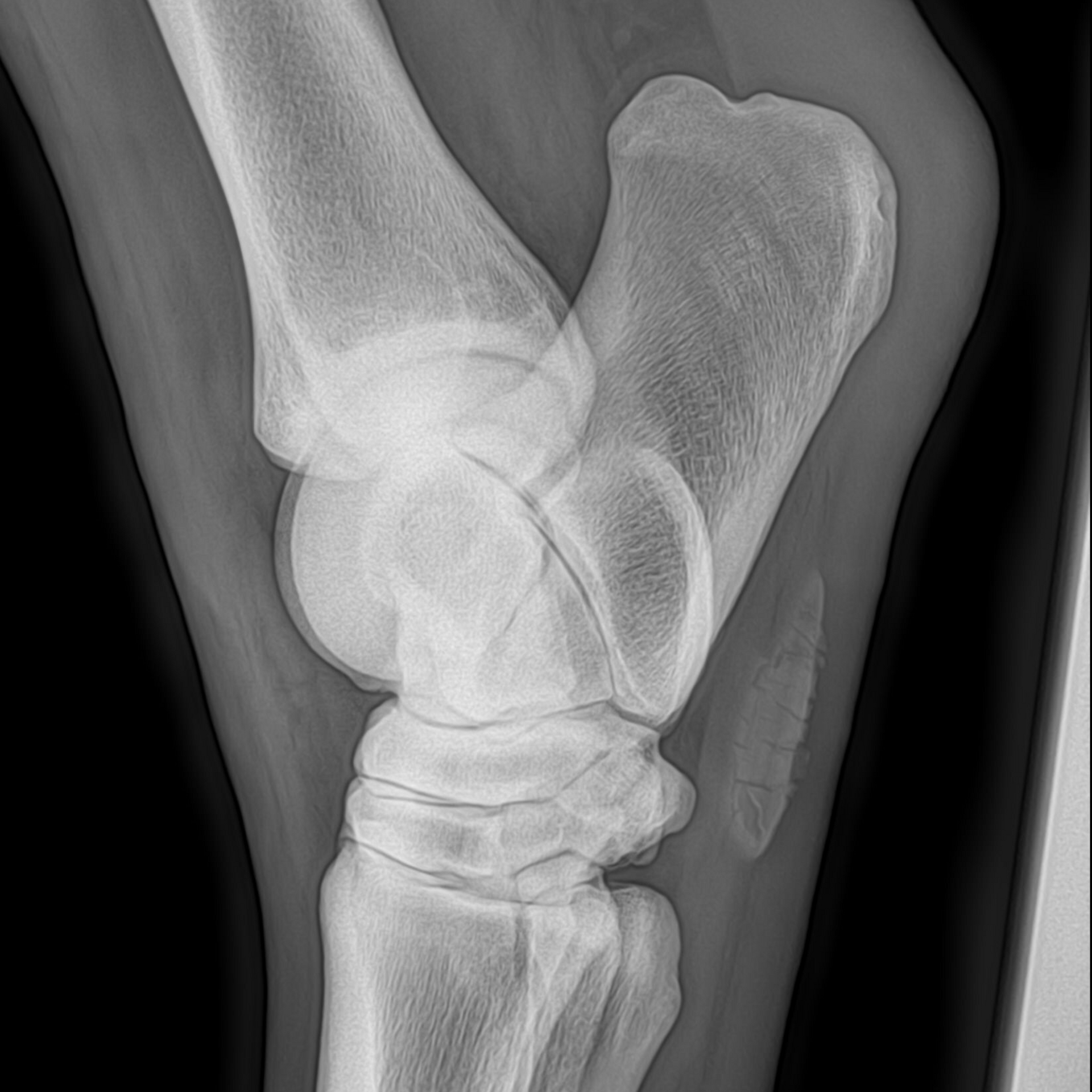
Röntgenologie
Met röntgenfoto's krijgen we een duidelijk beeld van botstructuren. De apparatuur gaat vanaf maart 2026 mee in de auto en is dan dus direct beschikbaar voor gebruik.

Echografie
Echografie geeft informatie over weke delen. Denk hierbij aan pezen, ligamenten, gewrichtskapsels en gewrichtsvocht.
Inzicht in kreupelheid, zekerheid in zorg
Optimaal herstel begint bij een goede diagnose.
Hierbij is het verhaal van de eigenaar en het klinisch onderzoek het allerbelangrijkst om de locatie van de pijnlijkheid te achterhalen. Vervolgens vindt verdere diagnostiek plaats in de vorm van röntgenologisch en/of echografisch onderzoek. Hiermee kunnen de meeste structuren goed in beeld worden gebracht, waardoor letsels opgespoord kunnen worden, een gedegen behandelplan kan worden opgesteld en een eerlijke prognose gegeven kan worden.
Echter hier begint het pas. Het proces van revalidatie gaat om een balans vinden tussen training en herstel, aanpassen van trainingsplannen en het blijven volgen van je gevoel. Ook hierbij ondersteun ik je graag. Ik kijk bijvoorbeeld graag eens mee met een training om de belastbaarheid goed in te kunnen schatten en een concreet opbouwschema te kunnen maken.

Behandelopties
Diverse medicamenteuze behandelingen zijn mogelijk. Het merendeel is direct op stal uit te voeren, zoals lokale injecties met diverse soorten ontstekingsremmers. Soms wordt aanvullende medicatie via de mond geadviseerd of ondersteunen we het paard d.m.v. een chiropractische behandeling om het lichaam beter te leren gebruiken.
Ook kan aangepast orthopedisch beslag van belang zijn, dit gebeurt in overleg met de eigen hoefsmid.
De revalidatie is een proces waar de eigenaar een grote rol speelt, maar natuurlijk gaan we dit traject samen aan. Een nauwkeurig opbouwschema waarbij zowel paard, eigenaar, voeding, vrije beweging en bodem meegenomen worden in het opstellen van een plan.

